ފުއްޕާމޭގެ ކެންސަރ

ޝެއާރް ކޮއްލާ

ފުއްޕާމޭގެ ކެންސަރ

ޑރ. މުޙައްމަދް ޝިފާން

ތައާރަފް

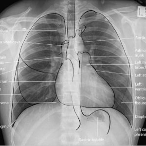
ފުއްޕާމޭ މައިގަނޑު ގޮތެއް ގައި އެކުލެވިގެން ވަނީ އިސްޕަންޖު ގަނޑެއް ފަދަ ދެގުނަވަނަކުންނެވެ. މިގުނަވަން ހިމެނެނީ މޭގެ ދެފަރާތުގައެވެ. ކަނާތްފަރާތު ފުއްޕާމޭބެހިގެން ވަނީ 3 ބަޔަކަށެވެ (3 ލޯބްސް އަށެވެ). އަދި ވާތް ފަރާތު ފުއްޕާމޭ ބެހިގެން ވަނީ 2 ލޯބަށެވެ. ވާތް ފަރާތުޕުއްޕާމޭ ކަނާތްފަރާތަށް ވުރެ ކުޑަވާނެއެވެ. ސަބަބަކީ މޭގެ ވާތްފަރާތުގައި ހިތް އެކުލެވިގެން ވާތީ އެވެ.

ނޭވާލާއިރު، އަނގައިން ނޫނީ ނޭފަތުން ވައި ދަތުރުކުރާނީ ނޭވާ ހިނގާ ހޮޅި(ވައި ނޮޅިން) ގޮސް ޕުއްޕާމެއަށެވެ. ފުއްޕާމެއަށް ވަންނަވަރަކަށް މި ހޮޅި އިތުރުބައި ތަކަށް ބެހިގެންދެއެވެ. މިނިޒާމުގެ އެންމެ ކުދި ހޮޅި އަށް “ބްރޮންކިއޯލް” ގެނަމުން ނަންދެވިފާ ވެއެވެ. މިފަދަ ބްރޮންކިއޯލް ނިމޭހިސާބުގައި ނާޒުކުފަށަލައެއް ލެވިފައި ވާ ކުދި، ތުނި ކޮތަޅެއް ފަދަ ވަސީލަތެއް ހިމެނެއެވެ(އެލްވިއޮލައި).

މި އެލްވިއޮލައި ގެ މައިގަނޑު މަސައްކަތަކީ ނޭވައިން ގެނެސް ދިންވައިގައި ހިމެނޭ އޮކްސިޖަން ލޭގެތެރެއަށް ވާސިލް ކޮށްދީ، އަދި ހަށިގަނޑުގައި ބޭނުން ކުރެވި ތަގައްޔަރުވެފައި ވާ “ކާބަންޑައި އޮކްސައިޑް”ހަށިގަނޑުން ބޭރަށް، ނޭވާ ބޭރަށް ލާ ވަޔާއެކު ބޭރުކޮށް ލުމެވެ.

މިސަބަބަށް ޓަކައި ފުއްޕާމޭގެ މައިގަނޑު މަސައްކަތަކީ، އޮކްސިޖަން ހަށިގަނޑުގެ އެތެރެކުރުމާ ކާބަންޑައި އޮކްސައިޑް ގޭސް ބޭރުކުރުމެވެ. މިނޫނަސް ފުއްޕާމެއިން ހަށިގަނޑުގެ އެތެރޭގައި، ފުރާނަޔަށް މުހިއްމު، މާއްދާތައް އެއްހަަމައެއްގައި ބަހެއްޓުމުގައި ވަރަށް މުހިއްމު ދައުރެއް ކުޅެއެވެ.

ފުއްޕާމޭގެ ކެންސަރު އާންމުކޮށް ފަށަނީ ވައިނޮޅިޔާ، ކުދި ހޮޅިތަކާ އަދި އަލްވިއޮލައި ގެ އެތެރެފަށަލައިގެ ހިމެނޭ ސެލްތަކުން ނެވެ.

ފުއްޕާމޭގެ ކެންސަރުގެ ތަފާތު ވައްތަރު ތައް:

ފުއްޕާމޭގެ ކެންސަރ މައިގަނޑު ގޮތެއްގައި ބެހިގެން ވަނީ ދެބަޔަކަށެވެ. އަދި މި ދެވައްތަރަށް ފަރުވާކުރުމުގައިވެސް ބޮޑު ތަފާތުތަކެއްހުރެއެވެ.

“ނޮން-ސްމޯލް ސެލް ލަންގް ކެންސަރ” (އެން.އެސް. އެލް.ސީ)

މިވައްތަރަކީ ފުއްޕާމޭގެ ކެންސަރުގެ އެންމެ އާންމު ވައްތަރެވެ. ބުނެވޭ ގޮތުގައި ފުއްޕާމޭގެ ކެންސަރުގެ %85-80 އަކީ އެން. އެސް. އެލް.ސީ އެވެ. މިބައި އިތުރު މުހިއްމު ތިން ބަޔަކަށް ބެހެއެވެ. “އެޑިނޯކާސިނޯމާ”، “ސްކުއޭމަސް ސެލްކާސިނޯމާ” އަދި “ލާރޖް ސެލް ކާސިނޯމާ” ހިމެނެއެވެ .މިއީ ފުއްޕާމޭގެ ތަފާތު ތިން ވައްތަރެއްގެ ސެލްތަކަކުން އަންނަ ވައްތަރުތަކެކެވެ. މިތިން ވައްތަރު އެއްގުރޫޕެއްގައި ހިމެނުމުގެ ހިކްމަތަކީ،ފަރުވާ ކުރުމުގާ އެއްގޮތް ތަކެއް ހުރުމާ އެކު ފަރުވާއަށްފަހު ޝިފާލިބޭ މިންވަރުގައި އެއް ކަހަލަހަމަތަކެއް އެކުލެވޭތީއެވެ.

އެޑިނޯކާސިނޯމާ: މިފަދަ ކެންސަރ ފަށަނީ “މިއުކަސް” ނުނީ ވަކި ތެތް ކަމެއް ފުއްޕާމޭގައި އުފައްދައި ދޭ ސެލްތަކަކުންނެވެ. މިވައްތަރު ގިނަފަހަރު ފެންނާނީ، ދުމާ ދުންފަތުގެ އިސްތިއުމާލު ކުރަމުންދާ ނުނީ  ދުމާ ދުންފަތުގެއިސްތިއުމާލް ކުރި މީހުންގެއެވެ. އަދި މި ވައްތަރަކީ ދުންފަތުގެ އިސްތިއުމާލް ނުކުރާ މީހުންގެވެސް އެންމެ އާންމު ވައްތަރެވެ. މިވައްތަރު އާންމުވާނީ ޒުވާނުން ގެއެވެ. “އެޑިނޯކާސިނޯމާ” އާންމުކޮށް އުފެދޭނީ ފުޕާމޭގެ ބެރުފަރާތުން (މެދަށް ވުރެ ބޭރުފަރާތާ ކައިރިން) ނެވެ. މިސަބަބަށް ޓަކައި މިވައްތަރު ދުރުހިސާބުތަކަށް ފެތުރުމުގެ ކުރިން ދެނެގަންނަން ފަސޭހަވެއެވެ.

އެޑިނޯކާސިނޯމާ ގެތެރެއިން، “އެޑިނޯކާސިނޯމާ އިން ސިޓޫ” (ކުރިން ކިޔާގޮތުގައިނަމަ “ބްރޮންކޮ އެލްވިއޮލަ ކާސިނޯމާ”)، އަކީ މިވައްތަރުގެ ތެރެއިން ފަރުވާ އަށް ފަހު ފުރިހަމަ ޝިފާ ލިބޭމިންވަރު، އެހެން ވައްތަރުތަކާ އަޅާކިޔާއިރު، އެންމެ އިތުރު ވެގެން ވާ ވައްތަރެވެ.

ސްކުއޭމަސް ސެލް ކާސިނޯމާ: މިފަދަ ފުއްޕާމޭގެ ކެންސަރު އުފެދެނީ، ފުއްޕާމޭ ގައި ވައި ދަތުރު ކުރާ ހޮޅި ތަކުގެ، އެތެރެ ފަށަލައިގާ ވާ ފަތި ސެލް ތަކަކުން (ސްކުއޭމަސް ސެލް) ނެވެ. މިވައްތަރަކީ ވެސް ދުމާ ދުންފަތުގެ އިސްތިއުމާލު ކުރާމީހުން ނަށް އާންމު ކޮށް ފެންނަވައްތަރެކެވެ. މިވައްތަރު އާންމުކޮށް ފެންނާނީ ފުއްޕާމޭގެ މެދާ ކައިރިން، މައި ވައި ހޮޅި އެއްގެ ކައިރިން ނެވެ.

ލާރޖް ސެލް (“އަންޑިފަރަންށިއޭޓަޑް”) ކާސިނޯމާ: މިއީ ވަރަށް އަވަސް މުއްދަތެއް ގެ ތެރޭގައި އުފެދި، ފެތުރޭ ވައްތަރެކެވެ. އަދި ފުއްޕާމޭގެ ކޮންމެހިސާބަކުން ވެސް އުފެދި ދާނެއެވެ.”އަންޑިފަރެންށިއޭޓަޑް” އޭ ނަން ދެވެނީ މިބާވަތުގެ ކެންސަރ އިތުރު ވާލެއް އަވަސް ވެ، މައިކްރޮސް ކޯޕް އަކުން ބަލާއިރު، މި ވައްތަރު އުފެދެނީ ކޮން ވައްތަރެއް ގެ ސެލް އަކުން ކަން ބުނެނުދެވޭތީ އެވެ.މިސަބަބުތަކަށް ޓަކައި ފަރުވާކުރުމަށް ވެސް އުނދަގޫ ވައްތަރެކެވެ.

މިބައިގާ ހިމެނޭ އަނެއް މުހިއްމު ވައްތަރަކީ “ލާރޖް ސެލް ނިއުރޯއެންޑޮކްރައިން ކާސިނޯމާ”، މިއީ ވެސް ވަރަށް އަވަހަށް އިތުރުވެ، ބާރަށް ފެތުރޭ ވައްތަރެކެވެ. ނަމަވެސް މިވަށްތަރުގެ ކެނަސަރުގެ  ގިނަވަނަވަރު ވައްތަރީ “ސްމޯލް ސެލް ލަންގް ކެންސަރ” އާއެވެ.

“ސްމޯލް ސެލް ލަންގް ކެންސަރ”

ބުނެވޭ ގޮތުގައި ފުއްޕާމެގެ ކެންސަރުގެ %15-10 އަކީ “ސްމޯލް ސެލް ލަންގް ކެންސަރެވެ. އަދި ބައެއްފަހަރު މި ވައްތަރަށް “އޯޓް ސެލް ކެންސަރު” ގެނަމުން ކިޔެއެވެ.

މިވައްތަރަކީ ވަރަށް އަވަހަށް އިތުރުވެ ބާރަށް ފެތުރޭ ވައްތަރެކެވެ. ފަހުގެ ގިނަ ދިރާސާތަކުން ދައްކާގޮތުގައި މިވައްތަރުގެ ކެންސަރ ފުރަތަމަ ޑައިގްނޯސް ކުރެވޭއިރުވެސް، ގާތްގަނޑަކަށް %70  މީހުން ގެ ހުންނާނީ ދުރުހިސާބަކަށް ފެތުރިފައެވެ. ނަމެވެސް މި ފަދަ ފުއްޕާމޭގެ ކެންސަރ އަކީ ކީމޯތެރަޕީ އަދި ރޭޑިއޯ ތެރަޕީ ފަދަ ފަރުވާތަކުން ޝިފާލިބޭ ވައްތަރުތަކެވެ. ނަމަވެސް ބައެއް ފަހަރު ބަލި އަނބުރާ އައުން ގާތް ވައްތަރެކެވެ.

ފުއްޕާމޭގެ ކެންސަރު ؛ އިތުރު ވައްތަރުތައް

ފުއްޕާމޭގެ ކެންސަރުގެ މައިގަނޑު ވައްތަރު ތަކުގެ އިތުރުން، ފުއްޕާމޭގައި އުފެދޭ ބައެއް މުހިއްމުވައްތަރު ތައް ތިރީގައި ބަޔާންކުރެވިފައި ވަނީއެވެ.

ލަންގް ކާސިނޮއިޑް ޓިއުމަރ

މިވައްތަރަކީ ފުއްޕާމޭގެ ކެންސަރުގެ ވައްތަރުތަކުގެ ތެރެއިން ނިސަބަތުން %5 އަށް ވުރެމަދު ވައްތަރެކެވެ. މިއީ ލަސްލަހުން ފެތުރޭ ވައްތަރެކެވެ.

ފުއްޕާމެއަށް ފެތުރޭ ކެންސަރ:

އެހެނިހެން (މިސާލަކަށް: އުރަމަތި، ޗިސްމޭ، ކިޑްނީ އަދި ހަނގަނޑު ފަދަ) ގުނަވަން ތަކުގައި އުފެދޭ ކެންސަރ ތައް ދުރަށް ފެތުރޭއިރު، ފެތުރޭ އެންމެ ފުރަތަމަ މަންޒިލަކީ ވެސް ފުއްޕާމެއެވެ. އެހެންވެ މިފަދަ ކެންސަރ ތަކަކީ ފުއްޕާމޭގެ ކެންސަރ ކަމުގައި ނުބެލެވެއެވެ. ފަރުވާ ކުރުމުގައި މިފަދަ ކެންސަރ ބަލާނީ އެންމެ ފުރަތަމަ ކެންސަރ އުފެދުނު ގުނަވަނުގެ ކެންސަރކަމުގައެވެ.

ބަލި ޖެހެން މަގުފަހިވާ ސަބަބުތައް

ބަލިޖެހުން މަގުފަހިވާ ސަބަބުތައް، ނޫންނަމަ “ރިސްކްފެކްޓަރސް” މައިގަނޑު ގޮތެއްގައި ބެހިގެންވަނީ ދެބަޔަކަށެވެ.އަމިއްލައަށް ބަދަލުކުރުމުގެ ބާރުލިބިފައިވާ ކަންކަމާއި، އަމިއްލަ އިހްތިޔާރުގައި ނުވާ ކަންކަމެވެ.

އަމިއްލައަށް ބަދަލުކުރުމުގެ އިހްތިޔާރު ލިބިގެން ވާ ކަންކަން

  • ދުންފަތާ ދުންފަތުގެ ދުން :

މިއީ ފުއްޕާމޭގެ ކެންސަރ ޖެހުމުގެ އެންމެ މުހިއްމު، މައިގަނޑު ސަބަބެވެ. ދިރާސަތަކުން ދައްކާގޮތުގައި ފުއްޕާމޭގެ ކެންސަރ ގައި ނިޔާވާމިހުން ގެ %80 އަކީ ދުންފަތުގެ އިސްތިއުމާލް ކުރާމީހުންނެވެ. އަދި މި އަދަދު، ކުރިން ބަޔާން ކުރެވިދިޔަ ‘ސްމޯލްސެލް ލަންގް ކެންސަރ” ގައި އިތުރު ވެދެއެވެ. ދިރާސަތަކުން ދައްކާގޮތުގައި، ދުވަހަކުވެސް ދުންފަތުގެ އިސްތިއުމާލް ނުކުރާމީހަކަށް “ސްމޯލް ސެލް ލަންގް ކެންސަރ” ޖެހުން ވަރަށް ނާދިރުވާނެއެވެ.

  • “ސެކަންޑް ހޭންޑް ސްމޯކް” :

މިއީ ދުމާދުންފަތުގެ އިސްތިއުމާލް ނުކުރާމީހުންނަށް، މިފަދަވަސީލަތްތައް ބޭނުންކޮށް ދޫކޮށްލާދުމުން ދިމާވާ ބަލިމަޑުކަމަށް ކިޔޭނަމެކެވެ.

މިފަދަ މާހައުލް ގެތެރޭގައި ވާ ދުމުން ވެސް ފުއްޕާމޭގެ ކެންސަރޖެހުމުގެ ފުރުސަތު އެތައް ގުނަޔަކަށް އިތުރުވެއެވެ.

  • “އެސްބެސްޓޮސް” މާއްދާއަށް ހުށަހެޅުން

މިފަދަ މާއްދަތަކަށް ހުށަހެޅެނީ އާންމުކޮށް މަސައްކަތުގެ މާހައުލުން ނެވެ. މިސާލަކަށް ބޯޓު ބަނުން، މައިންގެ ހޮހޮޅައިގަ މަސައްކަތް ކުރުން، އަދި ފޮތި، ދަވާދު ފަދަ ބަންދުވެފައިވާ ކާރުހާނާފަދަ ތަންތަނުގައެވެ.

މި މާއްދާއަށް ގިނަ މުއްދަތަކަށް ހުށަ ހެޅޭ މީހުންނަށް “މިސޯތީލިއޯމާ” އޭކިޔޭވައްތަރުގެ ފުއްޕާމޭގެ ކެންސަރ ގިނައިން ފެނެއެވެ.

  • “ރޭޑަން” އޭ ކިޔާ ގޭހަށް ހުށަހެޅުން:

މިފަދަ ގޭސް އުފެދެނީ “ޔުރޭނިއަމް” އޭކިޔޭ ރޭޑިއޯ އެކްޓިވް މާއްދާއިންނެވެ. މިއީ ފަރުބަދަ ފަދަ ހިސާބުތަކުގައި ފެންނަ މާއްދާއެކެވެ.

  • ބޯފެނުގައި “އާރސަނިކް” ހިމެނުން:

ދުނިޔޭގެ ބައެއް ހިސާބުތަކުގައި (މިސާލަކަށް، ދެކުނު އޭޝިޔާ ގެ ބައެއް ގައުމު ތަކުގައި، ދެކުނު އެމެރިކާގެ ބައެއް ހިސާބު ތަކުގައި) ބޯން ބޭނުން ކުރާ ފެނުގައި މި މާއްދާ އިތުރު، ގައުމުތަކުގައި ފުއްޕާމޭ ކެންސަރ އިތުރުވެދެއެވެ.

އަމިއްލަ އިހްތިޔާރުގައި ބަދަލު ކުރުމުގެބާރު ނެތް، ބަލި ޖައްސައިދޭ ކަންކަން:

  • ބައްޔެއްގެ ސަބަބުން ކުރިން މެޔަށް ރޭޑިއޭޝަން ދީފައިވުން، އަދިމިފަދަ މީހުން ދުންފަތުގެ އިސްތިއުމާލް ކުރާނަމަ ފުއްޕާމެއަށް ކެންސަރ ޖެހުމުގެ ފުރުސަތު އިތުރު ވެއެވެ.
  • ދިރި އުޅޭމާހައުލުގެ ވައި ތަގައްޔަރުވުން
  • ގިނަ ރިސަރޗަރުން ދެކޭގޮތުގައި ގާތްގަނޑަކަށް ފުއްޕާމޭގެ ކެންސަރ ގައި މަރުވާމީހުންގެ %5 އަކީ ދިރިއުޅޭމާހައުލުގެ ވައިތަގައްޔަރު ވު މުގެ ސަބަބުން ޖެހޭ ފުއްޕާމޭގެ ކެންސަރ އެވެ.
  • މިމައްސަލަ އަކީ ދުނިޔޭގެ ކުރިއަރަމުން އަންނަ ގައުމުތަކުގައި، އިންޖީނުލީ އުޅަނދު އިތުރުވުމުގެ ސަބަބާ ހުރެ، އިތުރުވެފައިވާ މައްސަލައެކެވެ.
  • ކުރިން ފުއްޕާމޭގެ ކެންސަރ ޖެހިފައިވާނަމަ ނޫނީ އާއިލާގައި ފުއްޕާމޭގެ ކެންސަރ އުޅޭނަމަ:
  • ކުރިންފުޕާމޭގެކެންސަރ ޖެހިފައިވާނަމަ، އަލުން ފުއްޕާމެއަށް ކެންސަރ ޖެހުމުގެ ފުރުސަތު އިތުރުވެއެވެ. އެއް އާއިލާއެއްގައި، ޅައިރު ކޮއްކޮ އަކަށް، ދައްތައަކަށް ނުވަތަ ބޭބެ އަކަށް ފުއްޕާމޭގެ ކެންސަރ ޖެހިފައިވާނަމަ، އެއްބަނޑު އެއްބަފާ ކުދިންނަށް މިބަލި ޖެހުމުގެ ފުރުސަތު އިތުރުވެ އެވެ.

ބަލީގެ އަލާމާތްތައް:

ގިނަފަހަރު ފުއްޕާމޭގެ ކެންސަރު ގެ ކުރީކޮޅުގައި އަލާމާތެއް ނުފެނި ހުރެއެވެ. ގިނަފަހަރު ބަލީގެ އަލާމާތް ފެންނަނީ ބަލިއުފެދުމަށް ފަހު ގިނަދުވަސްވާފަހުންނެވެ. ފުރަތަމަ އަލާމާތެއް ފެނުމުން، އެ އަލާމާތަކުން އުންދަގޫތަކެއް ދިމާނުވިޔަސް ޑޮކްޓަރަކަށް ދައްކައި ޓެސްކުރުމަކީ ވަރަށް މުހިއްމު ކަމެކެވެ. ސަބަބަކީ ގިނަ ކެންސަރ ފަދައިން، ފުއްޕާމޭގެ ކެންސަރުވެސް ކުރީކޮޅުގައި ފެނިއްޖެނަމަ އެއްކޮށް ޝިފާލިބުމުގެ ފުރުސަތު ބޮޑުވާތީ އެވެ.

އެންމެ އާންމު އަލާމާތް ތައް:

  • ނުފިލާ ހުންނަ ކެއްސުމެއް، ނޫނީ ރަނގަޅު ނުވެ ގޯސްވާ ކެއްސުމެއް.
  • ކެއްސާއިރު ލޭއައުން (ގަދަ ކުލައެއްގައި ހުރުން، އެތިކޮޅު ތަކެއްހެން)
  • ފުންކޮށް ނޭވާލާއިރު މޭގައި ރިއްސުން، (ކެއްސާ އަދި ހީ ހަދާއިރު)
  • އަޑު ބަދަލުވުން، ކުރެކިވެ ވައި އަޑު، އަދި އަޑުބަދަލު ވުން)
  • ކާހިތް ކެނޑުން
  • ވަރަށް ބޮޑަށް ބަރުދަން ލުއިވުން
  • ނޭވާ ކުރުވުން
  • އަބަދު ވަރުބަލި ވެފަިއި ހަށިގަނޑު ވަރުދެރަ ވެފައި ހުރުން
  • ތަކުރާރުކޮށް ފުއްޕާމޭގައި ޖަރާސީމު އަށަގަނެ، އިންފެކްޝަން ނުފިލުން
  • އަލަށް ނޭވާހިއްލަން ފެށުން

ޕުއްޕާމޭގެ ކެންސަރު ހަށިގަނޑުގެ އެހެނިހެން ހިސާބުތަކަށް ފެތުރުމަށް ފަހުދިމާވެދާނެ އަލާމާތްތައް

  • ކަށީގައި ރިއްސުން (ބުރިކަށި ،ޅިނދު އަދި އުނަގަނޑު ގައި ރިއްސުން)
  • ސިކުނޑި އާއި ނާރުގެ ނިޒާމުގެ އަލާމާތްތައް (ބޮލުގައި ރިއްސުން، ވަރުދެރަވުން، އަތް އަދި ފައި އައްސިވުން، ބޯއެނބުރުން، ބެލެންސް ގެއްލުން އަދި ފިޓުޖެހުން)
  • ލޮލާއި ހަންގަނޑު ރީނދޫވުން (ޖޯންޑިސްވުން) މިއީ ފުރަ މެއަށް ބަލި ފެތުރުމުން ދިމާވާ އަލާމާތެއް
  • ގޮށް ދުޅަވުން (މިސާލަކަށް ކަރުގާ އެކުލެވޭ ގޮށް ތައް، ފާޅުވެ ބޮޑެތި ގޮށްތަކެއް ލުން)

މީ ގެ އިތުރުން އެތައް “ސިންޑްރޯމް” ތަކެއް ފުއްޕާމޭގެ ކެންސަރގެ އަލާމަތް ތަކުގައި ހިމެނެއެވެ.

ފަރުވާ

ނޮންސްމޯލް ސެލް ލަންގް ކެންސަރ :

އަށް ފަރުވާކުރުމުގައި ބަލާ ހަމަ ތަކުގެ ތެރޭގައި ބަލީގެ ސްޓޭޖް (ބަލި ފެތުރިފައި ހުރި ވަރު)، އަދި މައިގަނޑު ގޮތެއްގައި އެމީހެއްގެ ދުޅަހެޔޮ ކަން އަދި ފުއްޕާމޭ މަސައްކަތް ކުރާމިންވަރު ފަދަ ވަނަވަރުތަކަށް ބަލައެވެ. ގިނަފަހަރު ފަރުވާގައި އެއްވަސީލަތައް ވުރެގިނަ ވަސީލަތްތައް ބޭނުންކުރެވެއެވެ.

ތިރީގައި ބަޔާން ކުރެވި ފައިވަނީ ބޭނުން ކުރެވޭ ތަފާތު ފަރުވާގެ ވައްތަރު ތަކެވެ

  • އޮޕަރޭޝަން
  • ރޭޑިއޯ ފްރީކުއަންސީ ބޭނުން ކޮށްގެން ކެނސަރ ސެލް ނައްތާލުން
  • ރޭޑިއޭޝަން ދިނުން
  • ކީމޯތެރަޕީ ދިނުން
  • ވަކި ސެލްތަކަކަށް އަމާޒުކުރެވިގެން ދޭ ފަރުވާ (ޓަރގެޓަޑް ތެރަޕީ)
  • އިމިއުނޯ ތެރަޕީ (މިފަދަ ފަރުވާގެ ބޭނުމަކީ ހަށި ގަނޑުގެ ދިފާއީ ސެލްތައް ވަރުގަދަ ކޮށް، ކެންސަރ ސެލްތައް ނައްތާލުން)
  • ޕެލިއޭޓިވް ކެއަރ

ސްމޯލް ސެލް ލަންގް ކެންސަރ:

 އަށް ފަރުވާކުރުމުގައި ބަލާ ހަމަ ތަކުގެ ތެރޭގައި ބަލީގެ ސްޓޭޖް (ބަލި ފެތުރިފައި ހުރި ވަރު)،އަދި މައިގަނޑު ގޮތެއްގައި އެމީހެއްގެ ދުޅަހެޔޮ ކަން އަދި ފުއްޕާމޭ މަސައްކަތް ކުރާމިންވަރު ފަދަ ވަނަވަރުތަކަށް ބަލައެވެ. ގިނަފަހަރު ފަރުވާގައި އެއްވަސީލަތައް ވުރެގިނަ ވަސީލަތްތައް ބޭނުންކުރެވެއެވެ. ސިއްހަތު ރަނގަޅުނަމަ، ސޮމޯލް ސެލް ލަނގް ކެންސަރ ގައި ފުރަތަމަ ފަރުވާ އެއްގެގޮތުގައި ކީމޯތަރަޕީ ދެއެވެ.

ތިރީގައި ބަޔާން ކުރެވި ފައިވަނީ ބޭނުން ކުރެވޭ ތަފާތު ފަރުވާގެ ވައްތަރު ތަކެވެ.

  • ކީމޯތެރަޕީ
  • އިމިއުނޯތެރަޕީ
  • ރޭޑިއޭޝަން
  • އޮޕަރެޝަން
  • ޕެލިއޭޓިވް ތެރަޕީ

ފަހުބަސް:

  • ފަރުވާ އަށް ފަހު، ފަރުވާކުރި ޓީމާ އެކު ތާވަލު ގައިވާގޮތަށް ދައްކަމުން (ޓެސްޓްކުރަމުން) ދިއުން މުހިއްމުވާނެއެވެ. އިތުރު އެއްވެސް އަލާމާތެއްފެނިއްޖެނަމަ ލަސްނުކޮށް ފަރުވާކުރި ޓީމްއާ މަޝްވަރާ ކުރުން މުހިއްމުވާނެއެވެ. ބަލި އަނބުރާ އައުން، ދެވަނަ އައު ކެންސަރެއް އައުން، ފަރުވާގެ ނޭދެވޭ އަސަރެއް، މި އީ އާންމުކޮށް ފަރުވާ އަށްފަހު ޑޮކްޓަރުން ސަމާލުކަން ދީގެން ކޮންމެ “ފޮލޯ އަޕް” އެއްގައި ބަލާ ކަންކަމެވެ.
  • ފަރުވާލިބުނު މީހާވެސް، ދިރިއުޅުމުގެ އާދަކާދަ އަށް ވަރަށް ސަމާލު ވާންވާނެއެވެ. މިގޮތުން، ދުންފަތުގެ އިސްތިއުމާލް ކުރި، ނުނީ ކުރަމުން ދާނަމަ އެކަން ހުއްޓާލުމަކީ އެންމެބޮޑަށް ސަމާލްކަން ދޭންޖެހޭ އެއްކަމެވެ. ގަވައިދުން ކަސްރަތުކުރުން، ހެޔޮބަރުދަނެއް ގައި ދެމިހުރުން، ހެޔޮކާނާ ބޭނުން ކުރުމުގެ އިތުރުން ހަކުރު ކެއުންބުއިމުގައި ބޭނުންކުރާވަރު މަދުކުރުމަކީ އަލުން ބަލި އައުން، އިތުރު އާކެންސަރެއް ނޫނީ އިތުރު މެޑިކަލް މައްސަލައެއް ދިމާވުން ދުރުކޮށްދޭ ހެޔޮ ބަދަލުތަކެވެ.
މި ބްލޮގް އަކީ ކެންސަރު ބަލީގެ މައުލޫމާތާއި ފަރުވާ އަދި ކެންސަރު ބަލީގެ އެންމެ ފަހުގެ ދިރާސާ މައުލޫމާތު ދިވެހިބަހުން ގިނަބަޔަކަށް ހުށައެޅުމަށް ޑރ. މުހައްމަދު ޝިފާން ފަށާފައިވާ މަސައްކަތެކެވެ.
ވެބްސައިޓް ޕޮލިސީ
COPYRIGHT © 2024